What's the Diagnosis? By Sarab Sodhi
Wed, 10/04/2017 - 8:37am
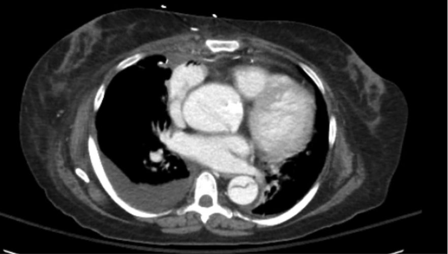
A 45 you female presents complaining of abdominal pain and back pain. She apears uncomfortable and she has hypertension on exam, otherwise vital signs are normal and exam is unremarkable. A CT is completed. What's the diagnosis? Scroll down for answer.

Answer: Aortic Dissection
- A flap is clearly seen in the descending aorta
- Occurs when the blood enters the medial layer of the aortic wall through a defect in the intima layer, blood will fill into this new lumen
- Most aortic dissectins occur in elderly hypertensive patients
- Treatment involves aggressive heart rate and blood pressure management (beta blockade and peripheral arterial relaxation)
- Type A dissections (involving the ascending aorta) require surgical management, Type B dissections (involving the descending aorta only) are often managed medically
