What's the Diagnosis? By Joseph Cesarine
Wed, 03/01/2017 - 12:18pm
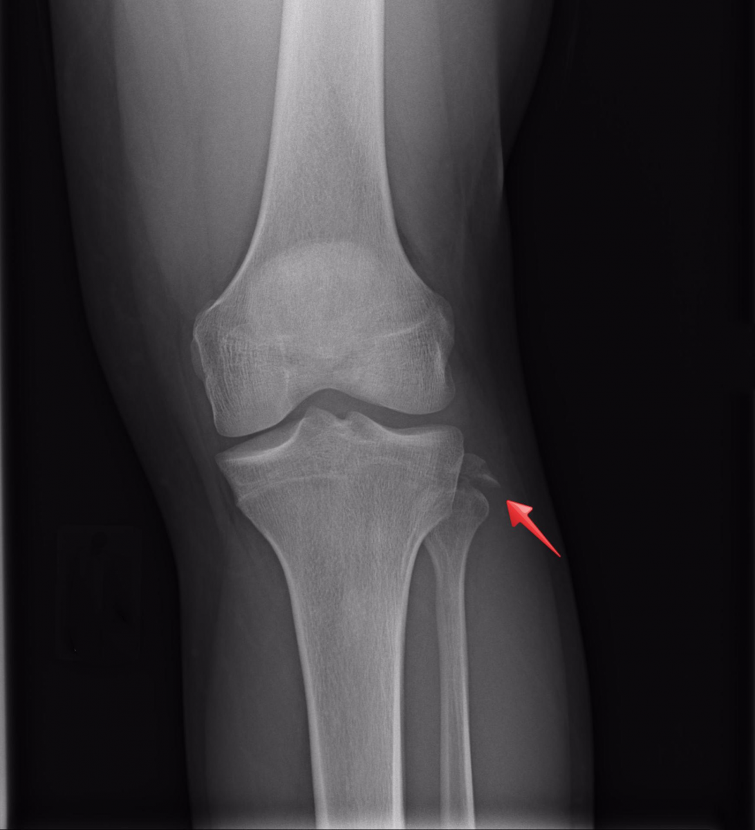
Answer: Avulsion fracture of the fibular styloid process, compatible with an arcuate sign.
Fibular Styloid Fracture/Arcuate Sign
- Mechanism is direct trauma to the anteromedial knee while in extension or sudden hyperextension; also seen in knee dislocations.
- Avulsion fracture at the proximal fibula at the insertion site of the arcuate ligament; 90% of fractures have disruption of the lateral collateral ligament
- Injury to other structures of the posterolateral ligamentous complex is also common.
- This injury is highly suspicious of an unstable knee joint and needs emergent orthopedic evaluation.
- Due to anatomic location of fracture, can also involve injury to peroneal nerve.

