What's the Diagnosis? By Dr. Sarab Sodhi
Wed, 10/11/2017 - 7:00am
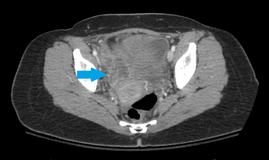
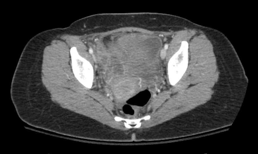
A 43 yo F presents to the ED with RLQ abdominal pain x 3 weeks. She reports 1 day of fever and chills. Abdominal/pelvic exam is significant for RLQ and suprapubic tenderness, as well as R adnexal tenderness and fullness. A CT scan is obtained. What's the diagnosis? (scroll down for answer)
Answer: Right tubo-ovarian abscess

- Inflammatory and infectious mass involving the fallopian tube and ovary
- Most commonly found in women of reproductive age, as a complication/extension of pelvic inflammatory disease
- Up to 75% of cases due to Chlamydia trachomatis or Neisseria gonorrhoeae
- Diagnosis can be confirmed by pelvic ultrasound or CT scan
- CT findings (as shown above) include tubular and cystic fluid collections with rim enhancement consistent with abscess formation
- Intravenous antibiotics can be used as first line therapy
- Cefoxitin + Doxycycline + Clindamycin or Metronidazole (for anaerobic coverage)
- Larger or ruptured abscesses may require IR drainage or surgical intervention
- Early treatment is important to prevent chronic pelvic pain, infertility or ectopic pregnancy
