What's the Diagnosis? By Dr. Sarab Sodhi
Wed, 09/27/2017 - 7:00am
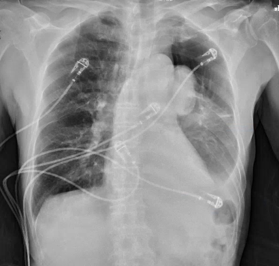
A 71 year old male presents with a chief complaint of dyspnea on exertion. He appears to be in no distress. His vital signs are stable. A CXR is ordered. What's the diagnosis? (scroll down for answer)

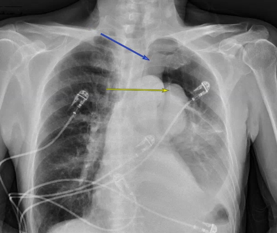
Answer: Pneumothorax secondary to bleb rutpure

- This CXR demonstrates a spontaneous pneumothroax contained to the left upper lobe secondary to bleb rupture
- Presenting symptoms of spontaneous PTX include acute onset of unilateral chest pain, shortness of breath and dyspnea on exertion
- Risk factors include smoking, PCP pneumonia, underlying lung disease
- Diagnosis confirmed by CXR or CT chest (when uncertain of diagnosis on CXR or to determine size of PTX)
- Treatment of small pneumothoracies in patients without significant shortness of breath includes observation and supplemental oxygen
- Treatment of large pneumothoracies or in any patient with respiratory distress includes either tube throacostomy or needle aspiration
- A contained pneumothorax secondary to bleb rupture, as seen in this case, typically resolves with conservative measures and tube thoracostomy is contra-indicated unless there is evidence of tension PTX
