What's the Diagnosis? By Dr. Sarab Sodhi
Wed, 07/07/2021 - 7:00am
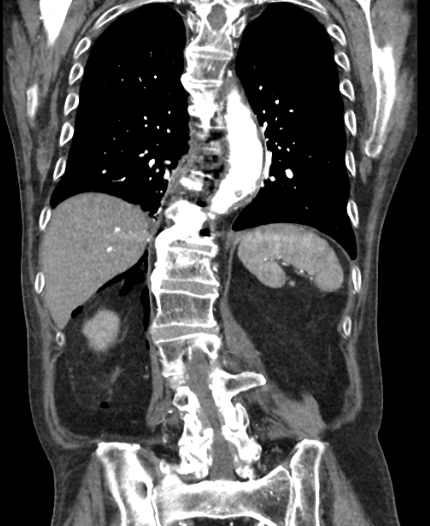
A 70 yo M presents to the ED with back pain s/p fall one day prior. The patient has a history of metastatic bladder cancer with known spinal mets. A CT chest/abdomen/pelvis is obtained. What's the diagnosis? (scroll down for answer)
Answer: Retroperitoneal Free Air (Pneumoretroperitoneum)
- Always considered an abnormal finding, and is uncommon compared to pneumoperitoneum
- Causes include: perforated retroperitoneal hollow viscus (duodenum, ascending/descending colon, rectum), residual air from retroperitoneal surgery, and trauma
- Best appreciated by CT scan, but can be detected by plain film
- Air most commonly seen surrounding kidneys in RUQ or LUQ of abdomen
- Requires prompt surgical exploration
