What's the Diagnosis? By Dr. Sarab Sodhi
Wed, 12/30/2020 - 7:02pm
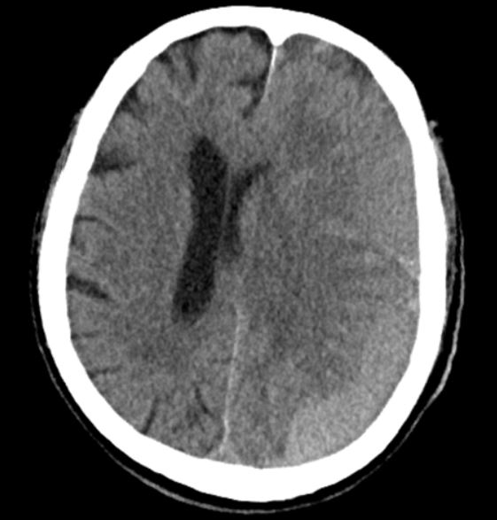
An 81 yo M presents to the ED with his daughter for worsening confusion. There is no reported trauma, but the patient is on anticoagulation. His physical exam is significant for expressive aphasia. A CT scan is obtained. What's the diagnosis? (scroll down for answer)
Answer: Acute on chronic subdural hematoma with mass effect
- Intracranial hemorrhage caused by venous bleeding into the potential space between dura and brain parenchyma
- Acute SDH: occurs within 14 days of injury and patients typically present after significant head trauma. On CT, appears as a hyperdense crescent shaped lesion that crosses suture lines
- Chronic SDH: after 14 days, often without history of traumatic event. On CT, are isodense, therefore more difficult to identify
- Chronic SDH is commonly seen in elderly patients or alcoholics and presenting complaint may be altered MS
- Require prompt neurosurgical consult- definitive treatment is determined by type, size and effect on underlying brain parenchyma
- Patients on antiplatelets/anticoagulants are at increased risk for SDH and should have coagulopathy reversed upon diagnosis
References:
Wright DW, Merck LH. Head Trauma. In: Tintinalli JE, Stapczynski J, Ma O, Yealy DM, Meckler GD, Cline DM. eds. Tintinalli’s Emergency Medicine: A Comprehensive Study Guide, 8e New York, NY: McGraw-Hill; 2016.
