What's the diagnosis? By Dr. Patrice Baptista
A 74 yo female with a history of diabetes, hypertension, peripheral vascular disease presents with fatigue, nausea, vomiting, loss of taste for one week. She denies fever, constipation, diarrhea, shortness of breath and urinary complaints. On exam she is afebrile, she has tachycardia, tachypnea and appears ill. She has a malodorous right foot wound. What's the diagnosis? Scroll down for answer


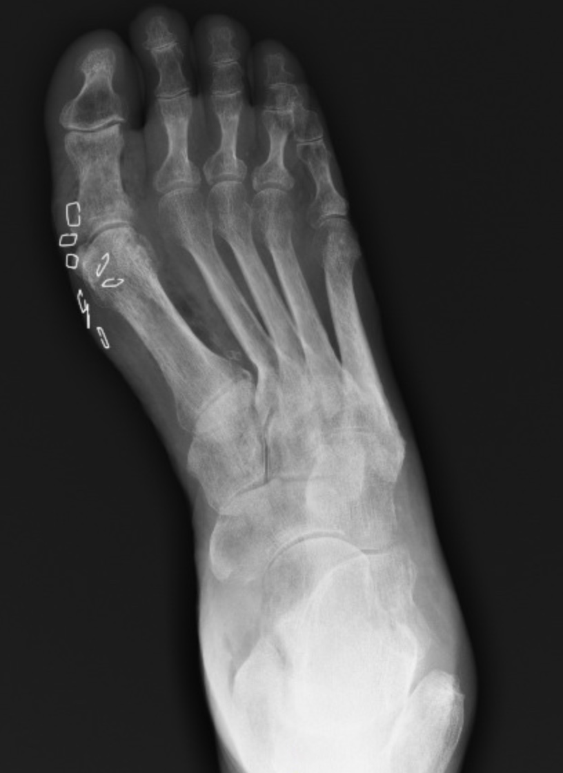
Answer: Gas gangrene
- Background
- gas gangrene is a life threatening, necrotizing soft tissue infection
- caused by rapid proliferation and spread of gas forming bacteria in contaminated wounds
- can rapidly progress to multiorgan failure and death
- commonly etiology Clostridium perfringes, however may also be secondary to group A streptococcus, Staphylococcus aureus, and Vibrio vulnificus
- risk factors are vascular disease, diabetes, deep / contaminated wounds, trauma
- Presentation
- local symptoms: excruciating pain (may be absent in neuropathic patients) signs of inflammation, crepitus, skin discoloration, malodor, purulent or serosanguinous drainage, bullae
- fever, tachycardia, change in mental status, shock multiprgan failure
- Diagnosis
- high clinical suspicion
- gas on imaging (xray, CT, MRI)
- skin/wound cultures
- blood cultures to evaluate for bacteremia
- Treatment
- Early surgical debridement
- Early broad spectrum antibiotics - to cover gram positive, gram negative and anaerobic organisms
- a carbapenem or piperacillin-tazobactam plus
- an agent against MRSA (vancomycin or daptomycin) plus
- Clindamycin for its antitoxin effects
- Can consider hyperbaric oxygen therapy
- ED management
- high index of suspicion with tissue necrosis, sepsis
- IV fluid resuscitation, cautionary use of pressors as vasoconstriction may limit tissue perfusion
- monitor for compartment syndrome
- prompt diatnosis and early surgical consultation (prompt transfer for surgical services)
References
Takazawa K, Otsuka H, Nakagawa Y, Inokuchi S. Clinical Features of Non-clostridial Gas Gangrene and Risk Factors for In-hospital Mortality. Tokai J Exp Clin Med. 2015 Sep 20;40(3):124-9. PMID: 26369267.
Zaręba KP, Dawidziuk T, Zińczuk J, Pryczynicz A, Guzińska-Ustymowicz K, Kędra B. Gas gangrene as a surgical emergency - own experience. Pol Przegl Chir. 2019 Oct 11;91(6):1-5. doi: 10.5604/01.3001.0013.5076. PMID: 31849354.
