What's the Diagnosis? By Dr. Michael Tom
Wed, 08/30/2017 - 6:43am
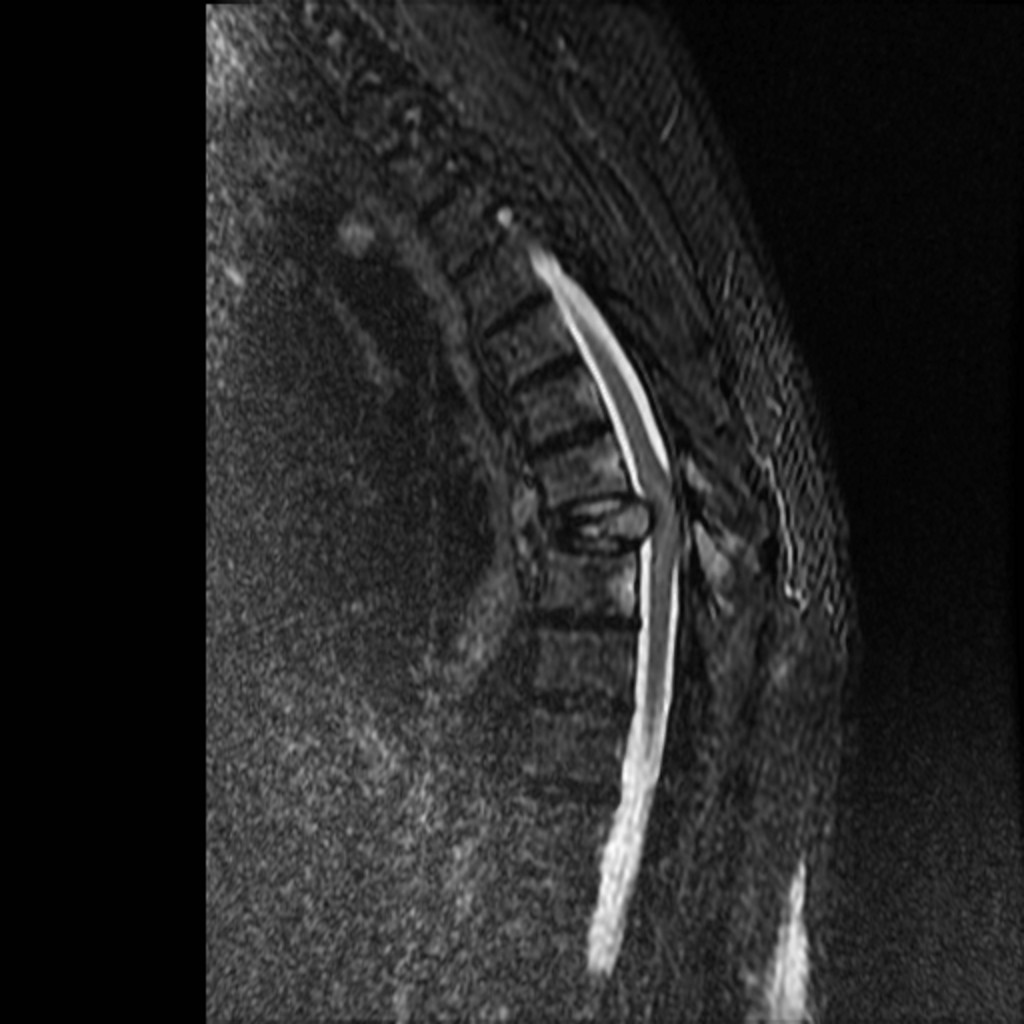
A 63 you male presents with back pain and lower extremity weakness, no bowel or bladder dysfunction. He has midline back tenderness and 4/5 strength in lower extremities. His MRI is shown. What's the diagnosis?
(scroll down for answer)

Answer: T8 pathologic fracture in this patient with plasma cell dyscrasia. MRI shows fracture with retropulsion, canal stenosis, spinal cord compression and cord edema.
Ordering an MRI in the ED for back pain
- When serious underlying pathology is plausible or there is evidence of neurological involvement
- Examples of serious underlying pathology:epidural abscess, cauda equina syndrome, cancer with metastisis, cord hematoma
Epidural Abscess
- American College of Radiology recommends MRI with and without contrast as imaging modality of choice for spinal infection
- Diagnostic delay greater than 24 hours is associated with persistent neurological sequelae
- Risk factors include immunocompromise and IV drug abuse.
Cauda equina syndrome
- Low back pain with radicular symptoms, bowel, bladder or sexual dysfunction
- Urinary retention is often the first sign, check a post-void residual
Spinal metastasis
- High level of suspicion in setting of known malignancy
- May also be making the malignant diagnosis concurrently with spinal involvement as occurred in this case
- May present with hypercalcemia
- Commonly solid tumors, notoriously breast, lung and prostate
Epidural Hematoma
- Suspect in setting of recent spinal procedure, trauma, anticoagulation therapy
