What's the Diagnosis? By Dr. Michael Tom
Wed, 06/14/2017 - 6:00am
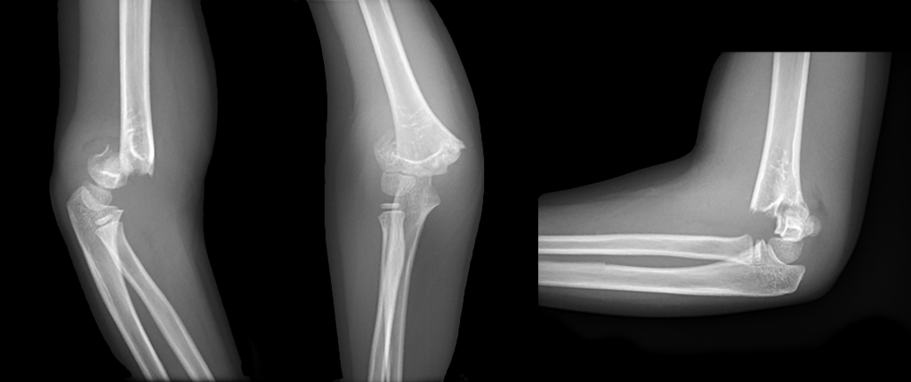
A 6 year-old girl fell from the monkey bars on her outstretched arm, what's the diagnosis? (scroll down for answer)

Answer: Type III supracondylar fracture
Pitfalls in management
- Failure to recognize neurovascular compromise, so consider continuous pulse ox on the affected limb
- Delayed diagnosis of compartment syndrome and risk for Volkman's ischemic contracture
- Failure to consult orthopedics as this injury requires early operative repair
