What's the Diagnosis? By Dr. Lynn Manganiello
Wed, 02/16/2022 - 1:49pm
Editor:
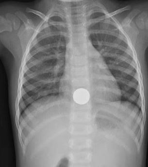
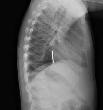
A 2 year old F presents to the ED with her parents with concern that she may have ingested a coin. Patient is well appearing with normal vital signs and exam. A CXR is obtained. What's the diagnosis? (scroll down for answer)
Answer: Esophageal Foreign Body (coin at level of GE junction)
- Coin in espophagus is en face on AP film vs. trachea en face on lateral film
- Es-O-phagus on AP film
- Indications for emergent EGD
- ingestion of sharp or elongated objects/multiple foreign bodies
- button battery ingestion- perforation can occur within 6 hours!
- evidence of perforation
- coin at level of cricopharyngeus muscle in child
- airway compromise
- presence of FB > 24 hours
- EGD Is contraindicated in body packers and can be rapidly fatal
- Distal to pylorus and benign shape- expectant management
- Can attempt glucagon to facilitate passage if object in distal esophagus; 1-2mg IV for adult, can repeat in 20 min if no relief (low success rates reported)
References:
Mendelson, M. “Esophageal Emergencies.” Tintinalli’s Emergency Medicine: A Comprehensive Study Guide, 8th Ed. Judith E. Tintinalli, et al. New York, NY: McGraw-Hill, 2016.
