What's the diagnosis? By Dr. Loran Hatch
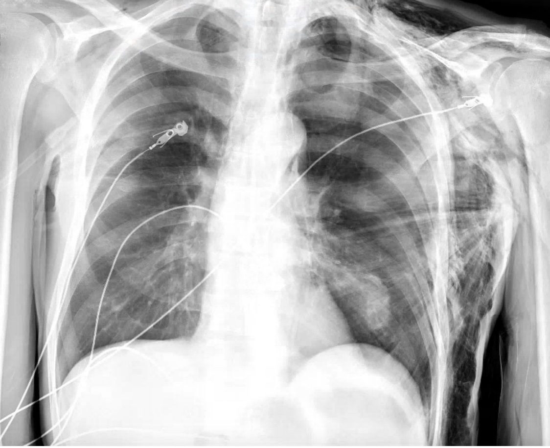
A 65 yo male presents with chest swelling gradually worsening over the past 2 hours. He has no history of trauma. His family reports that he had a bronchoscopy and video-assisted thorascopic surgery (VATS) 5 days ago. Patient is hemodynamically stable. He has palpable crepitus over chest wall extending into his neck and balck. A portable chest x-ray is shown. What's the diagnosis? Scroll down for answer.

Answer: Subcutaneous emphysema
Etiologies: Pneumothorax (spontaneous or traumatic), trauma (tracheobronchial injury, barotrauma), esophageal perforation/rupture, iotrogenic (from positive pressure ventilation, VATS, bronchoscopy), cocaine inhalation
Signs and symptoms: chest pain, dyspnea, soft tissue swelling, crepitus
Imaging: chest x-ray, CT scan
Management: assume underlying pneumothorax even if not obvious on x-ray, control pain, if possible avoid positive pressure ventilation (PPV), may require thoracostomy tube (especially if patient needs PPV) consultation with cardiothoracic surgery and interventional pulmonology with esophageal or tracheobronchial injury, may require bronchoscopy for further evaluation
Often resolves spontaneously over 2 weeks
Jones D, Nelson A, Ma O. Pulmonary Trauma. In: Tintinalli JE, Stapczynski J, Ma O, Yealy DM, Meckler GD, Cline DM. eds. Tintinalli’s Emergency Medicine: A Comprehensive Study Guide, 8e New York, NY: McGraw-Hill; 2016
