What's the Diagnosis? By Dr. Lauren Murphy
Wed, 08/09/2017 - 6:00am
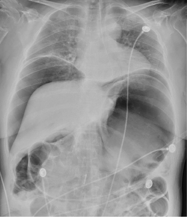
A 53 yo female presents with acute onset of sharp abdominal pain. She is rolling back and forth on the stretcher, visibly in pain. She has tachycardia, but otherwise her vitals are normal. A stat portable x-ray is shown below. What's the diagnosis? (scroll down for answer)

Answer: pneumoperitoneum
- Requires emergent surgical consultation and broad spectrum antibiotics to cover enteric organisms; metronidazole or a carbapenem may be added to the traditional two-antibiotic regimen
- In rare cases abdominal compartment syndrome may ensue if the perforation acts as a one-way valve creating a tension pneumoperitoneum
- Click here for additional images of pneumoperitoneum
