What's the Diagnosis? By Dr. Lauren Murphy
Wed, 04/11/2018 - 7:00am
Editor:
A 58 yo M develops abdominal pain and hypotension 12 hours following stent placement to the L common iliac and L superficial femoral artery for limb ischemia. Both common femoral arteries were accessed during the procedure. A CT is obtained. What's the diagnosis? (scroll down for answer)

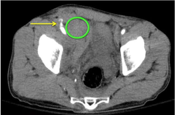
Answer: Active extravasation from R iliac artery w/ large retroperitoneal hematoma

- In image above- Yellow arrow shows active extravasation, while green circle shows developing RP hematoma
- Retroperitoneal hematoma formation is a rare but serious complication of femoral artery catheterization
- Symptoms may include: groin pain/tenderness, severe back pain or lower quadrant abdominal pain, or femoral neuropathy
- Any anticoagulation should be reversed
- Patient should be resuscitated with blood products early
- Surgical emergency requiring prompt operative repair- immediate consult to vascular surgery/IR depending on resources available
