What's the Diagnosis? By Dr. Katie Selman
Wed, 01/01/2020 - 3:00pm
Editor:
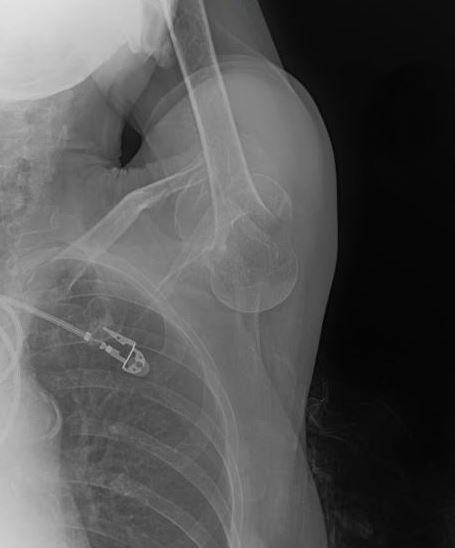
A 76 yo F presents to the ED w/ L shoulder pain. While walking her dog, the dog pulled hard on the leash and she fell, developing sudden onset L shoulder pain. On exam, her L arm is positioned above her head and she is unable to range it. X-ray is shown below. What's the diagnosis? (scroll down for answer)
Answer: Inferior Shoulder Dislocation or "Luxatio Erecta"
- Rarest type of shoulder dislocation
- Mechanism of injury- hyperabduction
- Classically, patients cannot adduct their arm
- Complications:
- Rotator cuff tears (12-15% patients)
- Axillary artery injury
- Brachial plexus injury
- Humeral head fracture
- Treatment
- Immediate reduction (may require open reduction)
- Immobilization
- Orthopedic follow up to assess rotator cuff
References:
Malik S, Pirotte A. Shoulder. In: Sherman SC. eds.Simon’s Emergency Orthopedics, 7eNew York, NY: McGraw-Hill; 2014
