What's the Diagnosis? By Dr. Jillian Smith
Wed, 09/20/2017 - 6:00am
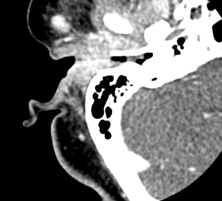
A 61 yo female with a history of DM presents with 3 days of severe R ear pain. She denies fever, but reports fullness, swelling and decreased hearing. Exam reveals significant swelling and tenderess of the R pinna and EAC without drainage. A CT is obtained. What's the diagnosis? (scroll down for answer)
Answer: Malignant Otitis Externa
- infection of the external auditory canal and skull base
- begins as otitis externa and progresses into osteomyelitis of temporal bone
- most commonly due to Pseudomonas aeruginosa, less likely fungal secondary to aspergillosis
- typically seen in elderly patients with DM or immunocompromised patients
- presenting symptoms include: severe otalgia, otorrhea, sense of fullness, and hearing loss
- exam findings include a swollen, tender external auditory canal, purulent otorrhea, and cranial nerve palsy (in more advanced infection)
- CT temporal bones can be used to evaluate extent of infection
- treatment includes a fluoroquinolone or an antipseudomonal cephalosporin
