What's the diagnosis? By Dr. F. Jon Skilton
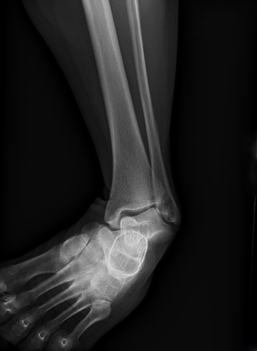
A 60 yo female presents with ankle pain after a fall from a ladder. On exam patient has a grossly deformed left ankle and an inverted foot. An xray is shown. What's the diagnosis? Scroll down for answer.

Answer: Comminuted fracture of the talus with medial dislocation of the subtalar joint. (Hawkins Type IV fracture of talus)
Subtalar dislocations
- Rare, account for 1-2% of foot/ankle dislocations
- There is disruption of the articulation of both the talocalcaneal and talonavicular joints
- may appear as an ankle dislocation but tibiotalar and ankle mortise are intact
- usually accompanied by fractures
- approximately 25% are open at initial presentation
- Medial subtalar dislocations (85%)
- foot inverted, calcaneous displaced medially
- AP xray will show medially displaced calcaneous as above and lateral will show talar head superior to navicular bone

- Lateral subtalar dislocations (15%)
- Foot is everted, calcaneous is displaced lateral to the talus
- lateral xray will show talar head inferior to navicular
- Prompt reduction is warranted with knee in flexion to relax the gastrocnemius
- 30% require open reduction
- High risk of infection for open fracture dislocation
Sources
Tintinalli's Emergency Medicine Manual, 8e Eds. Ch 175 Rita K. Cydulka, et al. New York, NY: McGraw-Hill
Giannoulis, Papadopoulus, Mavrodontitus, Subtalar dislocation without associated fractures: Case report and review of literature. World Journal of Orthopedics, 2015 April 18; 6(3): 374-379
Cervera, T. Subtalar Dislocation Case Report and Literature Review. Global Journal of Medical Research: Orthopedics and Musculoskeletal System
Eisenstein, Hillier, Ahmad, Medial subtalar dislocation with navicular and posterior talar process fracture: the first report in the literature, BMJ Case Report 2013: 2013: bcr2012007763
