What's the diagnosis? By Dr. Eric Chavis
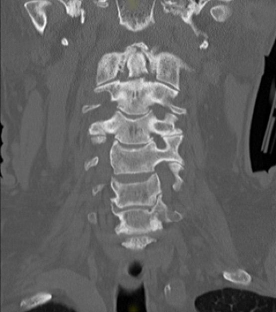
A70 yo male presents after MVC. He remembers waking up at the hospital with cervical collar in place and c/o neck pain. Denies numbness, tingling, weakness in extremities. He has midline cervical tenderness. He has full and symmetric strength in all four extremites as well as no sensory deficits. A CT cervical spine is shown (coronal). What's the diatnosis? Scroll down for answer.

Answer: Type II odontoid fracture
Odontoid fractures
- bimodal age distribution
- 25% associated with neurological deficit
- Type I through the upper part of the odontoid peg (stable), Type II at the base of the odontoid peg (unstable), Type III through the odontoid and the lateral masses (unstable)
Type II odontoid fractures
- the most unstable of the three types
- occurs at base of odontoid
- maintain cervical spine immobilization / stabilization (collar)
- stat neurosurgery consult for definitive managment
- high risk of non-union due to interruption of blood supply
Cervical spine fracture pearls - unstable cervical spine fractures ("Jefferson Bit Off A Hangman's Thumb)
- Jefferson burst fracture (burst fracture of the atlas C1 vertebra)
- Bilateral facet fracture
- Odontoid types II and III
- Any fracture with dislocation
- Hangmans fracture (fracture of the pedicles of the axis C2 vertebra)
- Teardrop fracture (fracture of the anterior inferoior aspect of cervical vertebral body)
reference
Pal D, Sell P, Grevitt M. Type II odontoid fractures in the elderly: an evidence-based narrative review of management. Eur Spine J. 2011;20(2):195-204. doi:10.1007/s00586-010-1507-6
