What's the diagnosis? By Dr. Danielle Kovalsky
A 37 yo male with chronic low back pain presents with acutely worsening low back pain and ambulatory dysfunction. Patient reports being unable to walk due to severity of back pain over the last 2-3 days. Denies any red flag symptoms such as saddle anesthesia, fevers, cancer history, bowel or bladder incontinence, or IV drug use. Further history and physical exam are difficult to obtain due to the patient's significant discomfort and unwillingness to participate. Lumbar spine MRI shown below. What's the diagnosis? Scroll down for answer.

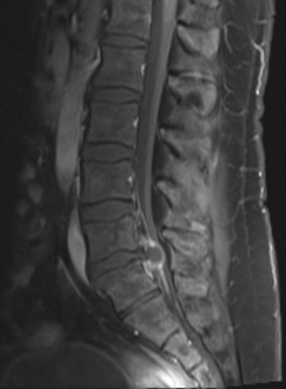
Answer: L5/S1 disc herniation

Radiology read of MRI:
1. Large peripherally enhancing left posterior paracentral structure at L5-S1 compressing
the descending left S1 nerve root and severely compressing the spinal canal and cauda equina nerve roots. This most likely represents a large disc extrusion rather
than an abscess.
2. Epidural lipomatosis congenitally narrowing the lumbar spinal canal, particularly at L5-S1, nearly completely effacing the sacral spinal canal.
Background of Lumbar Disc Herniation:
High Risk Histories for Disc Herniation
- Sciatica: radicular back pain in the distribution of a lumbar or sacral nerve root
- Often presents with sensory or motor deficts
- 95% of herniated discs occur at L4-L5 or L5-S1 disc spaces, impinging L5 and S1, respectively
- Paresthesias, numbness, weakness, gait disturbances, bowel incontinence and, or urinary incontinence / retention
Physical Exam:
- Straight leg test: screening test for herniated disc: patient lying supine, raise each leg separately to about 70 degrees
- Positive test: radicular pain radiating below knee of affected leg
- Pain improved with plantar flexion or decreasing leg elevation
- Pain worsened by dorsiflexion of foot
- 68-80% sensitive for L4-L5 or L5-S1 herniated disc
- Negative test: reproduction of back pain or pain in gluteal/hamstring area
- Can also be replicated with patient in sitting position
- Crossed straight leg test: radicular pain down affected leg while lifting asymptomatic leg (specific, but not sensitive for herniated disc)
- Localization of pain and neurologic deficit in unilateral single nerve root
- Neurologic exam
- L4:
- Motor: extension of quadriceps
- Reflexes: knee jerk
- L5:
- Motor: great toe dorsiflexion
- Reflexes: none
- S1/S2:
- Motor: plantar flexion of great toe and foot
- Reflexes: ankle jerk
- Perform digital rectal exam on patient with neurologic complaints or findings on exam concerning for serious disease
- Imaging
- MRI = best for disc disease
- Recommended in patients with severe or progressive neurologic deficits and those with serious underlying conditions suspected
- If patient has no risk factors and reassuring physical exam, do not MRI in the ED
- If symptoms did not progressive rapidly or are not severe, can order routine outpatient MRI
- Treatment
- Corticosteroids:
- Epidural Injections: limited benefit in herniated discs, no significant functional benefit, no decreased need for surgery
- Oral steroids: used widely but have no lasting measurable benefit
- Spinal manipulative therapy:
- Small decrease in pain up to 12 weeks
- Surgery
- Appropriate when patients meet 3 criteria
- Definitive evidence of herniation on imaging
- Corresponding picture and neurologic deficit
- Conservative treatment for 4-6 weeks that fails to cause improvement
- Emergency Decompressive Surgery
- Acute epidural compression syndromes
- Fewer symptoms at 1 and 2 years vs. patients treated conservatively; similar results at 4 and 10 years postoperatively
Case Outcome:Patient underwent microdiscectomy with Neurosurgery the following day. At his 2 week follow up appointment with Neurosurgery patient reported improving strength and walking every day. Patient reported his pain is improving.
Source:
Della-Giustina, D. (2020). Neck and Back Pain. In 1368857942 1000909131 J. Dubin (Ed.), Tintinalli's Emergency Medicine: A comprehensive study guide (9th ed., pp. 1881-1887). New York, NY: McGrawl Hill.
