What's the Diagnosis? By Dr. Chris Smith
Wed, 09/30/2020 - 7:00am
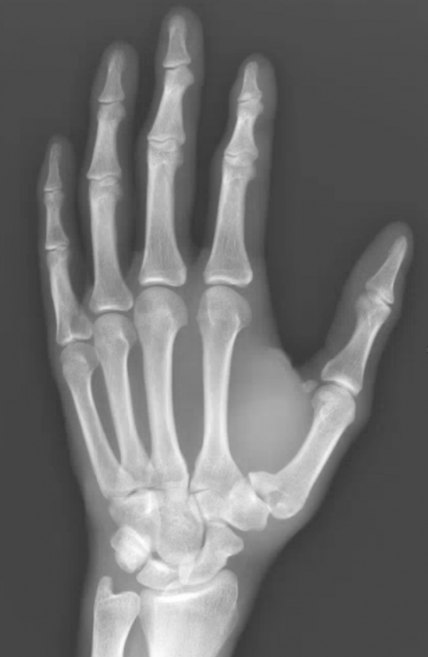
A 31 yo male presents with left thumb pain after a dirt bike crash. Patient is unable to move his left thumb and has tenderness at the base. An x-ray is shown below. What's the diagnosis? Scroll down for answer
Answer: Type I first metacarpal fracture (Bennett fracture)
- Most commonly occurs in young males from forceful axial load against a fixed object (sports, bicycle accident, punching), presents with pain and swelling at thenar eminence, decreased range of motion at MCP/CMC joints
- Diagnosis of first metacarpal fractures usually made by plain radiograph
- Management with reduction (may be accomplished with longitudinal traction, abduction and exension of first MC), thumb spica splint, and prompt orthopedic follow up. May require percutaneous pin fixation or open reduction and internal fixation.
- Classification of first metacarpal base fractures
- Type I, Bennett fracture: intra-articular fracture-dislocation/subluxation at the CMC joint
- Type II, Rolando fracture: a comminuted Bennett fracture
- Type III, (no eponym): extra articular fracture
- Type IV, (no eponym): extra-articular pediatric fracture involving the proximal physis
References:
Stapczynski, J. Stephan,, and Judith E. Tintinalli. Tintinalli's Emergency Medicine: A Comprehensive Study Guide. 7th ed. New York, N.Y.: McGraw-Hill Education LLC., 2011.
