What's the diagnosis? By Dr. Becca Fieles
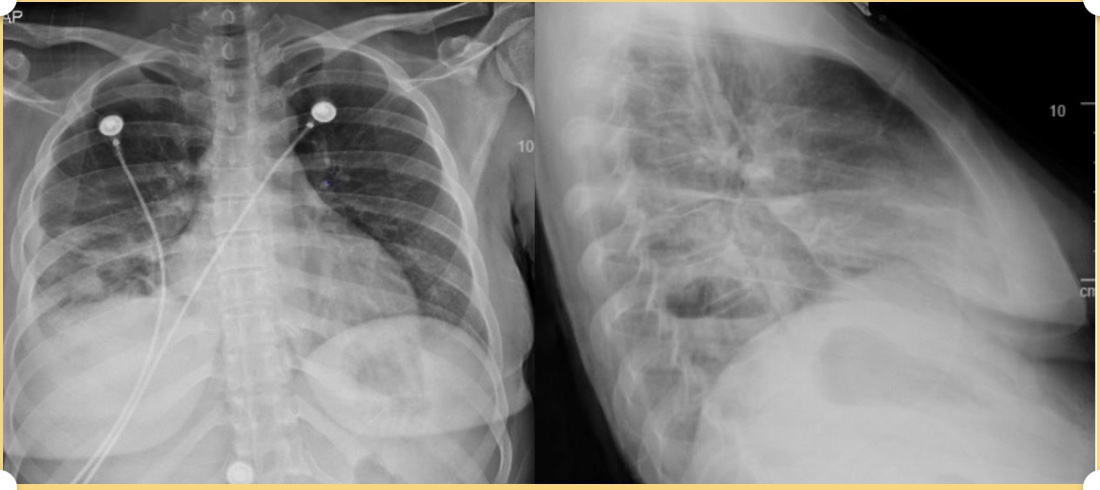
A 30 yo female with a hx of IVDA presents with 2 weeks of progressively worsening right sided pleuritic chest pain, productive cough and shortness of breath. She reports five days of nausea, vomiting and diarrhea as well. A chest x-ray is shown. What's the diagnosis? Scroll down for answer.

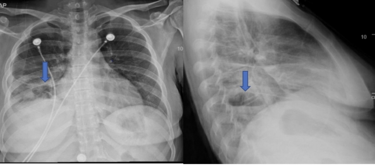
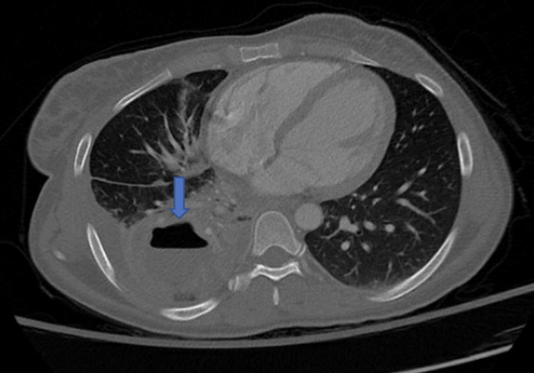
Answer: Cavitary lesion with air-fluid level consistent with abscess from septic emboli secondary to infective endocarditis

Or viewed on CT

Etiology
- bacteria laden clots from right sided bacterial endocarditis, septic thrombophlebitis, periodontal, and central venous catheter infections
- in IVDA tricuspid is most commonly involved in endocarditis, most common pathogen Staph aureus
- primary insult of ischemia due to vascular occlusion and secondary insult of infection
Presentation
- pleuritic chest pain, cough, fever, hemoptysis
Differential
- pulmonary abscess, septic emboli, tuberculosis, Aspergillosis, granulomatosis with polyangitis, scarcoid, malignancy
Diagnosis
- chest x-ray, CT, blood cultures
- +/- new heart murmur, presence of indwelling venous catheter, echo to identify valvular vegetation
Treatment
- 2-8 weeks of IV antibiotics
- possible abscess drainage, heart valve replacement
References
Stawicki SP, Firstenberg MS, Lyaker MR, et al. Septic embolism in the intensive care unit.Int JCrit Illn Inj Sci. 2013;3(1):58-63. doi:10.4103/2229-5151.109423
Parkar AP, Kandiah P. Differential Diagnosis of Cavitary Lung Lesions.J Belg Soc Radiol.2016;100(1):100. Published 2016 Nov 19. doi:10.5334/jbr-btr.1202
https://www.merckmanuals.com/home/heart-and-blood-vessel-disorders/endoc...
