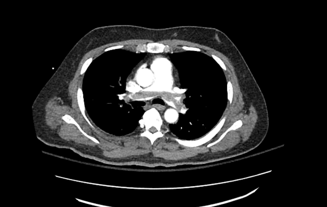
What's the diagnosis? By Dr. Angela Ugorets
A 45 yo male presents after syncope in rehabilitaion center. He is 3 weeks post operative spinal surgery. He c/o dyspnea. A cat scan is done. What's the diagnosis. Scroll down for answer.

Answer: Saddle pulmonary embolism
Common Symptoms of Pulmonary Embolism:
- Dyspnea
- Pleuritic chest pain
- Cough and/or hemoptysis
- Syncope (3-4%)
Common Physical Exam Findings:
- Tachypnea
- Tachycardia
- Hypoxemia
- Low-grade fever (10%)
- Clear lungs on exam
Risk Factors:
- Recent surgery (such as the patient in this case)
- Prolonged immobilization
- Trauma
- Cancer
- Estrogen therapy
- Pregnancy or post-partum
- Thrombophilia
- Infection
- History of PE or DVT
- Age over 50
EKG:
Most common finding: Sinus tachycardia
May see nonspecific ST segment and T wave changes
If severe right heart straight, may see specific (but uncommon) findings: T-wave inversions in precordial leads, new partial RBBB and/or S1Q3T3 pattern
Chest X-Ray:
Most common finding: clear lungs
<5% can show “Hamptons Hump” or “Westermark Sign” (sign of pulmonary infarction)
Echocardiogram:
Can show evidence of acute right heart strain such as right ventricular dilation (RV larger than LV), RV dysfunction (McConnell’s sign), septal flattening (D sign)
CTA Chest:
Preferred Test! Highest sensitivity.
V/Q Scan
Can be used for patients with contraindications to CTA, however nondiagnostic results still require confirmation by CTA.
WHEN TO WORK UP A PULMONARY EMBOLISM
Working up every single patient up who comes to the ED for PE would cause more harm than benefit. Thus, it has been agreed upon that NOT doing a work up on a patient with pretest probability of <2.5% is acceptable.
A common pathway to determine PE work up:
First use the Well’s Score to risk stratify patients.
You can use the 3 Tier Model:
Low Pretest Probability (<2 points, 1.3% incidence of PE) –> Use PERC score to rule out
Intermediate Pretest Probability (2-6 points, 16.2% incidence of PE) –> get D Dimer
High Pretest Probability (>6 points, 37.5% incidence of PE) –> Go straight to CTA chest
Alternatively, you can use the 2 Tier Model:
Low risk (≤4 points, 12.1% incidence of PE) –> get D Dimer
Not low risk (>4 points, 37.1% incidence of PE) –> Go straight to CTA chest
Well’s Score:
1. Clinical Signs/Symptoms of DVT (No = 0, Yes = 3)
2. PE is #1 diagnosis OR equally likely (No = 0, Yes = 3)
3. Heart rate >100 (No = 0, Yes = 1.5)
4. Immobilization at least 3 days OR surgery in the previous 4 weeks (No = 0, Yes = 1.5)
5. Hemoptysis (No = 0, Yes = 1)
6. Malignancy with treatment with 6 months or palliative (No = 0, Yes = 1)
In a patient with a LOW pretest probability (<2 points), you can use the Pulmonary Embolism Rule-Out Criteria (PERC Rule) to rule out a PE without any further testing.
PERC Rule:
1. Age ≥ 50 (No = 0, Yes = 1)
2. Heart rate >100 (No = 0, Yes = 1)
3. Oxygen Saturation on Room Air <95% (No = 0, Yes = 1)
4. Unilateral leg swelling (No = 0, Yes = 1)
5. Hemoptysis (No = 0, Yes = 1)
6. Recent surgery or trauma <4 weeks ago requiring treatment with general anesthesia (No = 0, Yes = 1)
7. Prior PE or DVT (No = 0, Yes = 1)
8. Hormone use (OCP, hormone replacement therapy, estrogenic hormone use) (No = 0, Yes =1)
If the patient was LOW RISK by Well’s score, and then scores 0 on the PERC Rule, you do not need to do any further work up for PE, as there is a <2% chance of PE in this patient.
If the patient answers yes to ANY of the questions (PERC score >1) then cannot rule out PE with this rule and should get a D-dimer.
In a patient with an INTERMEDIATE risk patient by Well’s score, you can use a NORMAL D-Dimer to rule out a PE without any further testing.
You can use age adjusted D dimer cut offsfor patients over the age of 50:
In a patient with a HIGH pretest probability by Well’s Score, a negative D-Dimer has little value, and you should go straight to CTA of the chest or ventilation perfusion (VQ) scan.
PE CLASSIFICATION
So you found a PE…First, stratify severity. There are multiple methods.
PE Severity Classifications:
Massive PE:
- systolic blood pressure (SBP) <90mmHg for >15 minutes OR SBP <100mmHg with a history of hypertension OR >40% reduction in baseline SBP
- PESI score >120 (detailed below)
- Shock Index (HR/SBP) ≥ 1.0
- Pulse Ox <95%
- Elevated Troponin
- Elevated BNP
Submassive PE:
- NORMAL SBP
- But does have OTHER evidence of cardiopulmonary stress, listed above
Less Severe PE:
- PESI score <80
- Shock Index (HR/SBP) ≤ 1.0
- Pulse Ox >94%
- Normal troponin
- Normal BNP
Review the Pulmonary Embolism Severity Index (PESI Score)
PESI Score:
1. Age (age in years = number of points)
2. Sex (Female = 0, Male = 10
3. History of Cancer (No = 0, Yes = 30)
4. History of Heart Failure (No = 0, Yes = 30)
5. History of Chronic Lung Disease (No = 0, Yes = 10)
6. Heart rate ≥110 (No = 0, Yes = 20)
7. Systolic BP <100mmHg (No = 0, Yes = 30)
8. Respiratory Rate ≥30 (No = 0, Yes – 20)
9. Temperature <36°C/96.8°F (No = 0, Yes = 20)
10. Altered mental status (disorientation, lethargy, stupor, coma) (No =0, Yes = 60)
11. Oxygen saturation <90% on room air (No = 0, Yes = 20)
If the patient scores ≤85 on the PESI score, he/she may be a candidate for outpatient management if clinically appropriate and patient’s social situation allows. Higher scores usually require higher levels of care, such as ICU for scores >125.
TREATMENT
Options include:
Heparin (if outpatient therapy inappropriate or patient has severe renal disease)
Low Molecular Weight Heparin (preferred outpatient treatment)
- Dalteparin, Enoxaparin (Lovenox), and Tinzaparin
Factor Xa inhibitor (good choices for outpatient treatment as well)
- Rivaroxaban (Xeralto), Apixaban (Eliquis), Dabigatran (Pradaxa, requires Heparin bridge)
Vitamin K antagonist
- Warfarin (requires Heparin bridge and outpatient INR monitoring)
Tissue Plasminogen Activtor (TPA) – for hemodynamically unstable PE
In patients with MASSIVE PE (hemodynamically unstable and/or cardiac arrest) – Give TPA!
In patients with SUBMASSIVE PE (hemodynamically stable but with evidence of heart strain by labs and/or echo) – Consider TPA
Kline J. (2016) ' Venous Thromboembolism' Tintinalli's Emergency Medicine: a Comprehensive Study Guide. Tintinalli, Judith E., et al. McGraw-Hill, Chapter 56.
Wolf SJ, McCubbin TR, Feldhaus KM, Faragher JP, Adocock DM. Prospecive validation of Wells Criteria in the evaluation of patients with suspected pulmonary emboli. Annals of Emergency Medicine. 2004 November; 44(5):503-10.
Kline JA, Courtney DM, Kabrhel C, Moore CL, Smithilne Ha, Richman PB, O'Neil BJ, Nordenholz K. Prospective multicenter evaluation of the pulmonary embolism rule-out criteria. Journal of Thrombosis and Haemostasis. 2007 May; 6(5):772-80.
Aujesky D, Obrosky DS, Stone RA, Auble TE, Perrier A, Cornuz J, Roy P-M, Fine MJ. Derivation and Validation of a Prognostic Model for Pulmonary Embolism. American Journal of Respiratory Critical Care Medicine. 2005 October 15; 172(8): 1041-1046
