What's the diagnosis? By Dr. Abby Renko
A 16 yo female presents with shortness of breath that started 2 days ago and worsened today. She denies cough, fever, myalgias and her COVID test is negative.
BP 122/86, HR 122, SpO2 92%RA, RR26, Tep 98.6F
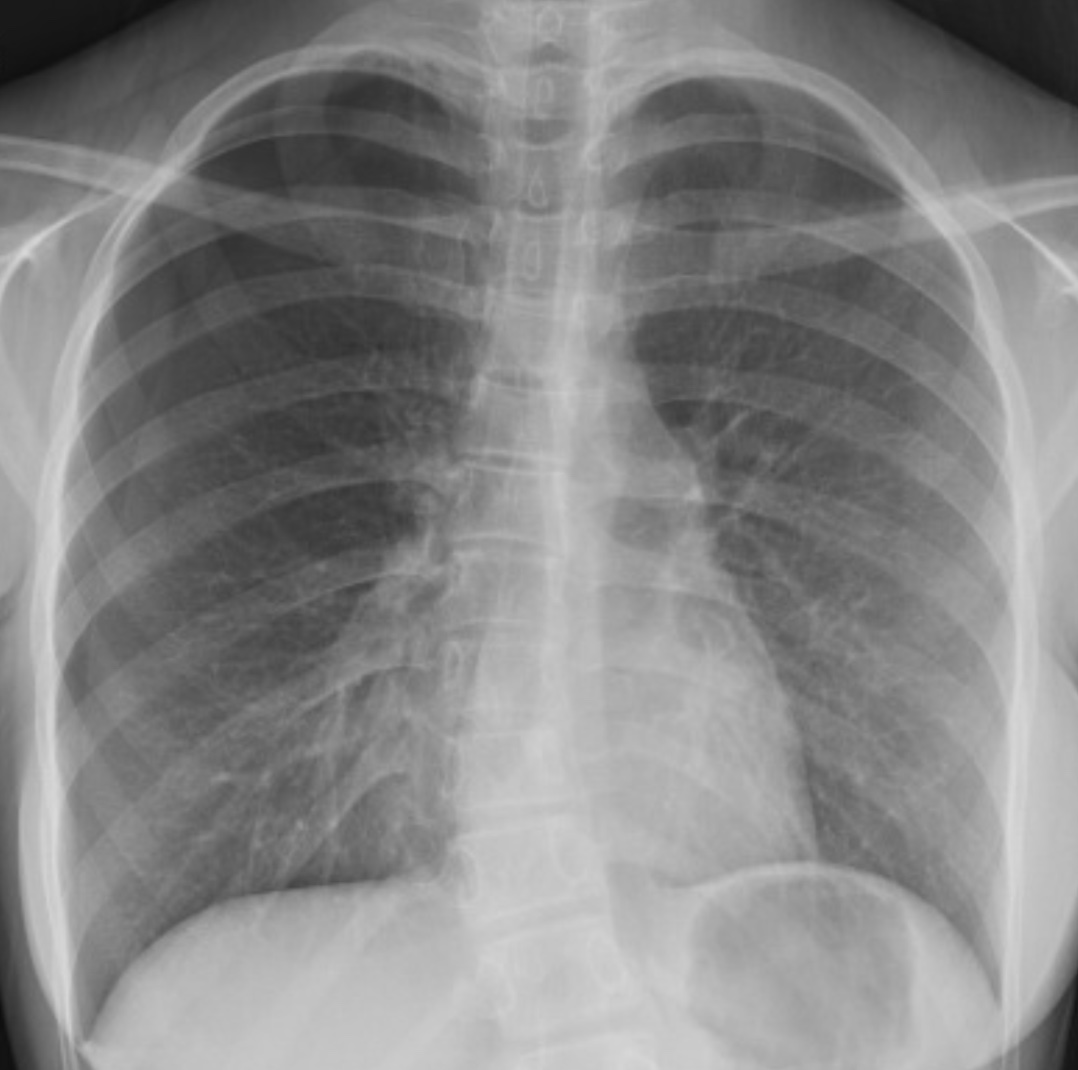
X-ray is shown. What's the diagnosis? Scroll down for answer.

Diagnosis : Spontaneous Pneumothorax (right sided, in this case)

Types
Primary - in patients without known lung disease
Secondary - in patients with known lung disease
Symptoms/signs
Sudden, sharp, pleuritic chest pain with associated shortness of breath
Tachycardia, hypoxia
Risk factors
Smoking, genetic predisposition, blebs, COPD, asthma, HIV, malignancy, cystic fibrosis, connective tissue disease
Diagnosis
Physical exam - inconsistent, but may reveal diminished breath sounds on affected side
Chest x-ray - displaced pleural line with absent lung markings extending from visceral pleura (lung edge) to parietal pleura (chest wall)
Point of care ultrasound (POCUS) - absence of lung sliding and vertical reverberation (comet tail artifacts)
Complications
Hemothorax (2-7%)
Tension pneumothorax (a life threatening emergency)
Treatment
Supplemental oxygen - increases pleural air resorption
Small pneumothorax
Observe ~4 hours on oxygen and repeat x-ray
Follow up in 24 hours
Large pneumothorax (severe dyspneua, abormal vitals signs)
Needle aspiration (for primary spontaneous) - click here to review
may reduce hospitalization rate / shorten length of stay
Chest tube thorocostomy - click here to review the procedure
References:
Tintinalli, JE. Tintinalli's Emergency Medicine: A Comprehensive Study Guide. 8th ed. New York, NY: McGraw-Hill Education LLC, 2016.
Wan C, Lyu M, Zhou J, Liu Y, Ji Y, Chest tuve drainage versus needle aspiration for primary spontaneous pneumothorax: which is better? J Thoracic Dis. 2017; 9(10): 4027-4038.
Zehtabchi S, Rios C. Management of Emergency Department Patients with Primary Spontaneous Pneumothoraz: Needle Aspiration or Tube Thorocostomy. Annals of Emergency Medicine. 2008; 51(1): 91-100.
