What's the Diagnosis (Critical Care Edition) By. Dr. Kim Chavez
Fri, 10/20/2017 - 8:01pm
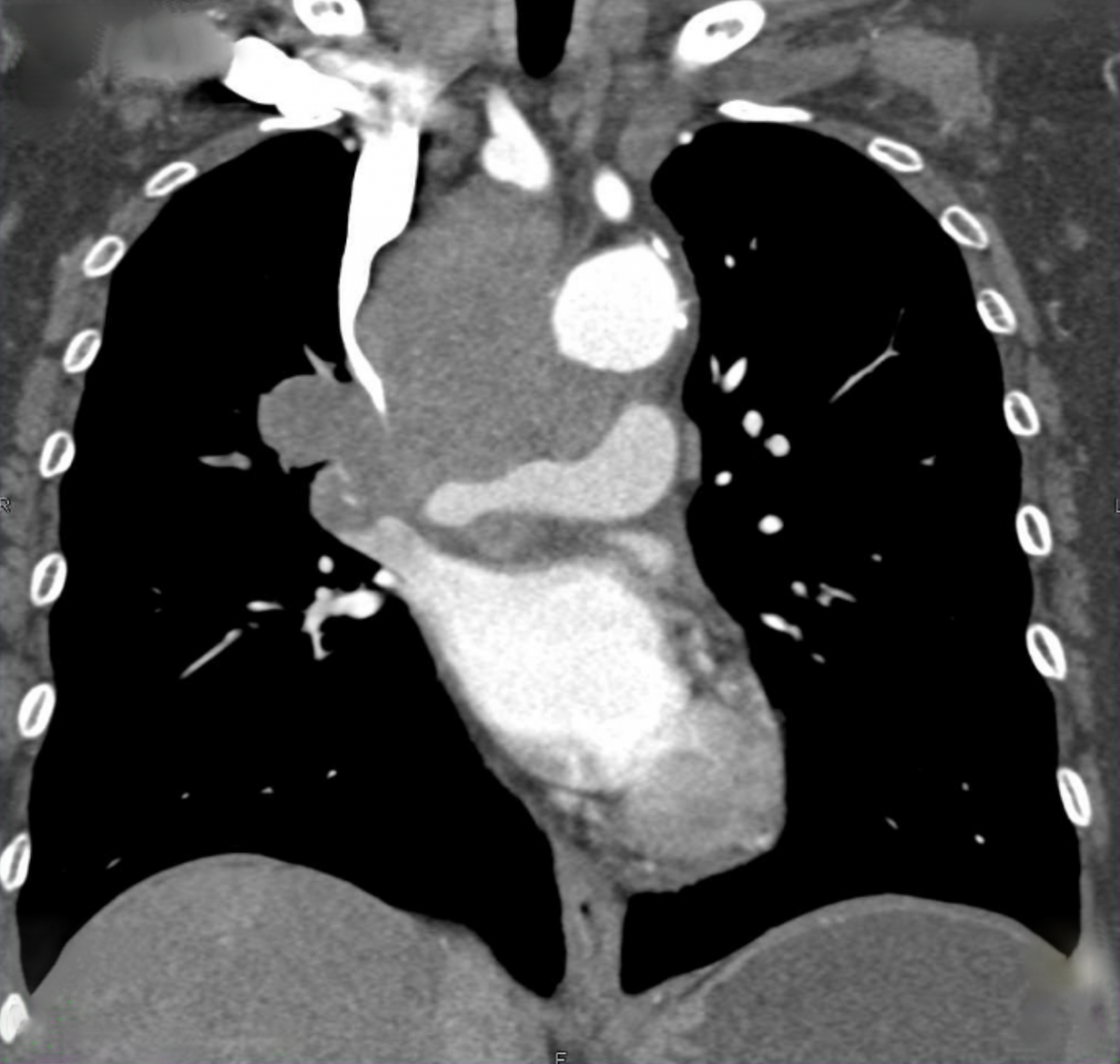
Patient presents with neck and facial swelling and is complaining of shortness of breath. CXR is here, what's the diagnosis? (scroll down for answer)

Answer: SVC Syndrome
SVC Syndrome
- Most commonly caused by an obstructing malignancy (i.e. lung cancer)
- Thrombosis is another common cause due to central venous catheters or pacemakers
- The severity of symptoms will depend on the location and speed of obstruction especially if venous collaterals do not have time to develop (typically at the azygos or post-azygos vein, pre-azygos typically presents more insidiously)
- Symptoms include facial plethora, flushed face, distended neck veins, dyspnea, cough, hoarseness
- If respiratory compromise is imminent due to extrinsic compression, patients may benefit from emergent stent placement and radiotherapy; thrombolysis and anticoagulation may be necessary if the cause is a thrombus
Resources
- Superior Vena Cava Syndrome. Life in the Fast Lane. Available at https://lifeinthefastlane.com/ccc/superior-vena-cava-svc-obstruction/. Accessed October 15, 2017.
- SVC Syndrome due to Small Cell Lung Cancer. CTisus. Available at http://www.ctisus.com/responsive/teachingfiles/vascular/374021. Accessed October 19, 2017.
