Board Review: Critical Care
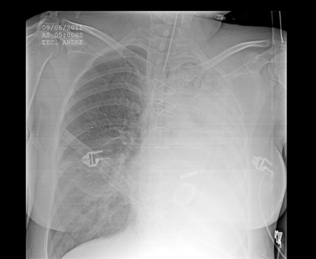
A 58 year old male with a history of HTN, HLD, and a 45 pack-year smoking history presents to the hospital in respiratory distress. He is holding an emesis bag filled with bright red blood. Using suctioning and a bougie, you successfully intubate him and obtain the below portable chest x-ray. What is the next best step to take in the management of this patient?

-
Place the endotracheal tube in the left bronchus
-
Immediately place the patient in the left lateral decubitus position
-
Start IV antibiotics
-
Obtain emergent CT chest and call cardiothoracic surgery
Answer: B. This patient is presenting with massive hemoptysis likely due to underlying malignancy. Massive hemoptysis is defined as >100 mL of blood loss in 1 hour or 1,000 mL of blood in 24 hours. Management of the airway is the most important first step, and the patient should be intubated with a 8.0 endotracheal tube if possible to prepare for future bronchoscopy. In order to keep blood from spreading to the unaffected lung, the patient’s lung that is bleeding should be placed down (in this case, the patient’s left lung is bleeding, therefore he is placed in the left lateral decubitus position). Selective intubation of a bronchus should be directed towards the unaffected lung to improve oxygenation to that side. In this case, the patient’s non-bleeding lung was the right side, therefore the patient should be intubated into the right mainstem bronchus. Once the patient is stabilized, further management includes obtaining a CT, potential bronchoscopy by interventional pulmonology, evaluation by interventional radiology, or Cardiothoracic surgery depending on the etiology of the bleeding and the patient’s clinical course.
References:
-
Bjoernsen, L. P., & Ebinger, A. (2016). Chapter 63 Hemoptysis In Tintialli's Emergency Medicine: A Comprehensive Study Guide (8th ed). New York, NY: McGraw-Hill Education.
-
Júnior, Antônio & Chaves, Renato & Santos, Amanda & Oliveira, Humberto & Paschoal, Marcello. (2018). Massive hemoptysis successfully treated with extracorporeal membrane oxygenation and endobronchial thrombolysis. Revista Brasileira de terapia intensiva. 30. 10.5935/0103-507X.20180002.
-
Radchenko C, et al (2017). “A systematic approach to the management of massive hemoptysis.” Journal of Thoracic Disease. 9 (Suppl 10): S1069-1086.
